Hebeloma theobrominum: hebelema de olor a cacao, hábitat e identificación

0 avistamientos 2026
  • Hebeloma theobrominum
  • Tóxica o mortal
  • José Mora Gómez
  • Comestibilidad Tóxica o mortal
  • Toxicidad Media o moderada
  • Temporada Septiembre a enero, según clima y altitud
  • Hábitat Ectomicorrícica en bosques y zonas arboladas; bajo frondosas y a veces coníferas; en suelos...

Características principales

Hebeloma theobrominum es una seta ectomicorrícica de Hymenogastraceae (Agaricales) conocida por su olor característico, descrito a menudo como cacao, chocolate o theobroma, rasgo que inspira su epíteto. Como en otros Hebeloma, presenta láminas que se vuelven pardo canela por la esporada y suele mostrar gotas o exudados en el borde de las láminas en ejemplares jóvenes. El género incluye numerosas especies muy similares, por lo que la identificación segura puede requerir microscopía.

  • Rasgo distintivo: olor dulce a cacao en ejemplares frescos.
  • Grupo: setas de láminas con esporada pardo-tabaco.
  • Ecología: asociada a árboles por micorriza.

Hábitat y temporada

Hebeloma theobrominum aparece en bosques y zonas arboladas, en suelos con humus, a menudo en claros, bordes de caminos y zonas removidas. Se asocia a frondosas y coníferas según región, y fructifica con humedad otoñal. En climas suaves puede encontrarse también en invierno.

  • Ambientes: bosques caducifolios, mixtos y coníferas; parques arbolados.
  • Sustrato: suelo humífero, a veces en zonas alteradas o nitrificadas.
  • Temporada: otoño e inicios de invierno, con picos tras lluvias.

Cómo encontrarla

Se localiza buscando setas de tonos crema a ocre bajo árboles, a menudo en grupos. El olor es una pista clave: frotar suavemente el sombrero o la base del pie y percibir un aroma a cacao ayuda a orientar la determinación. Conviene fotografiar láminas y base del pie, y anotar el árbol asociado.

  • Buscar en bordes de caminos forestales y claros con humus.
  • Comprobar láminas que pasan de pálidas a canela.
  • Verificar olor a cacao en ejemplares frescos.

Precauciones y recolección

No se recomienda la recolección para consumo. Muchas especies de Hebeloma son gastrointestinalmente tóxicas o provocan malestar, y la separación entre especies es compleja. Para estudio, recolectar pocos ejemplares completos, realizar impresión de esporada y conservar una parte seca para microscopía.

  • Evitar consumo: el género incluye especies con toxicidad gastrointestinal.
  • Documentar olor, árboles asociados y tipo de suelo.
  • Si hay duda, confirmar con microscopía (esporas y cistidios).

Curiosidades históricas

Los Hebeloma han sido tradicionalmente difíciles en micología de campo por su variabilidad y por la necesidad de rasgos microscópicos. En Hebeloma theobrominum, el olor a cacao ha sido un rasgo divulgativo muy citado, aunque su intensidad puede variar con la edad del ejemplar y las condiciones de humedad.

Uso en la cocina

No tiene uso culinario recomendado. Aunque el olor resulte agradable, no debe confundirse con comestibilidad: el género incluye especies que causan trastornos digestivos.

Propiedades

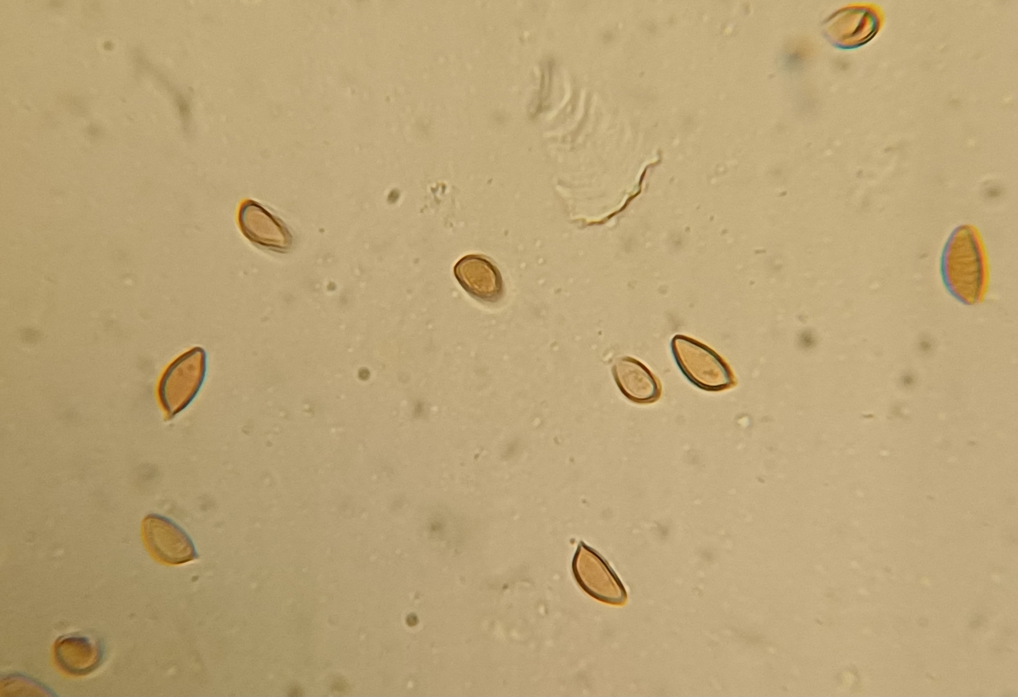
Descripción: Sombrero de 3 a 8 (hasta 10) cm, convexo al inicio y luego plano-convexo, a veces con umbo bajo; cutícula lisa a finamente fibrilosa, a menudo algo viscosa en húmedo, de color crema, beige, ocre pálido a ocre-arcilloso, con centro a veces más oscuro. Margen inicialmente algo enrollado, en ocasiones con restos finos de velo. Láminas apretadas, adnatas a escotadas, al principio blanquecinas o crema y pronto ocráceas a canela por la esporada; frecuente presencia de pequeñas gotas (gutación) en el borde en ejemplares jóvenes. Pie de 4 a 9 cm por 0,6 a 1,5 cm, cilíndrico o algo engrosado en la base, blanquecino a ocráceo, con fibrillas y a veces zona superior finamente pruínosa; sin anillo persistente. Carne blanquecina, olor característico a cacao o chocolate en fresco (variable), sabor a menudo amargo o rábanos en algunos Hebeloma pero no siempre fiable. Esporada pardo tabaco. Microscopia orientativa: esporas elípticas a amigdaloides, finamente ornamentadas, con reacción dextrinoide en Melzer; queilocistidios frecuentes, rasgo importante para separar especies.

Toxicidad: Media; provoca trastornos gastrointestinales.

Comestibilidad: Tóxica; no apta para el consumo.

Propiedades medicinales: No se conocen propiedades medicinales de interés ni evidencia clínica consolidada para Hebeloma theobrominum.

Identificación

Método de identificación: 1) Confirmar hábitat micorrícico bajo árboles. 2) Sombrero crema a ocre, a veces ligeramente viscoso. 3) Láminas densas que pasan de claras a canela, con posible gutación en el borde. 4) Esporada pardo tabaco. 5) Olor a cacao perceptible en ejemplares frescos, rasgo orientativo pero variable. 6) Diferenciar de otros Hebeloma requiere microscopía: tamaño y ornamentación de esporas, forma de queilocistidios y estructura del pileipellis; en caso de duda, tratar como Hebeloma sp. y no consumir.

Temporada: Septiembre a enero, según clima y altitud

Hábitat: Ectomicorrícica en bosques y zonas arboladas; bajo frondosas y a veces coníferas; en suelos humíferos, bordes y claros; Hymenogastraceae (Agaricales).

Distribución geográfica: Citada en Europa en bosques templados; registros dispersos por la dificultad de identificación del género, con probables citas adicionales donde existan hábitats micorrícicos adecuados.

Conservación

Estado de conservación: No evaluada (sin categoría global IUCN conocida para la especie)

Clasificación taxonómica

Nombre científico: Hebeloma theobrominum Quadr.

Rango taxonómico: species

  • Reino: Fungi
  • Filo: Basidiomycota
  • Clase: Agaricomycetes
  • Orden: Agaricales
  • Familia: Hymenogastraceae
  • Género: Hebeloma

Nombres comunes

  • Kakao-Fälbling (DEU)
  • Kakao-Fälbling (DEU)
  • Rossige vaalhoed (NLD)
  • Rødbrun tåreblad (DAN)
  • Rødbrun tåreblad (DAN)
  • raudbrun reddiksopp (NNO)
  • rödbrun fränskivling (SWE)
  • rødbrun reddiksopp (NOB)
  • suklaatympönen (FIN)
  • suklaatympönen (FIN)
  • Rossige vaalhoed (NLD)
  • raudbrun reddiksopp (NNO)
  • rödbrun fränskivling (SWE)
  • rødbrun reddiksopp (NOB)

Sinónimos

hebelema olor a cacao, hebelema de chocolate (uso divulgativo)

Información adicional (GBIF)

Datos obtenidos de GBIF. Uso sujeto a términos y condiciones de GBIF.

© 2026 AMIVALL - Cardenete (Cu). - Política de privacidad, Aviso legal